Manter uma rotina de limpeza dental regular vai muito além de simplesmente manter os dentes limpos e o hálito fresco.
Como dentista, sempre reforço a importância dessa prática para a saúde bucal e geral dos meus pacientes.
Neste artigo, vou explorar os diversos benefícios de realizar limpezas dentais regulares, mostrando como elas podem prevenir problemas graves e melhorar a sua qualidade de vida.
Não deixe de conferir os vídeos no meu canal no YouTube, “Jean Dentista”, onde explico em detalhes cada um desses benefícios e como você pode maximizar os resultados das suas consultas de limpeza.
Prevenção de Cáries com limpeza dental regular
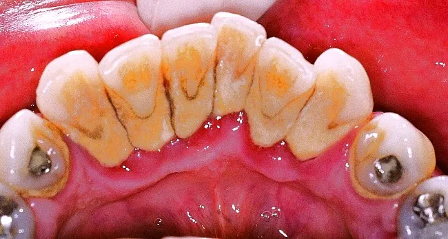
Uma das maiores vantagens da limpeza dental regular é a prevenção de cáries.
Mesmo com uma boa rotina de escovação e uso de fio dental, algumas áreas da boca podem acumular placa bacteriana, que é a principal causa das cáries.
Durante a limpeza, o dentista ou higienista remove essa placa antes que ela tenha a chance de endurecer e se transformar em tártaro, que é muito mais difícil de remover e pode causar sérios danos ao esmalte dos dentes.

Exemplo: Imagine que você escova os dentes diariamente, mas ainda sente uma leve dor ao comer algo doce ou muito frio. Isso pode ser um sinal de cárie incipiente, que, se não for tratada, pode evoluir para um problema mais sério.
A limpeza regular ajuda a evitar que pequenas cáries se tornem grandes problemas.
Quer entender melhor como a limpeza dental previne cáries? Assista ao vídeo no meu canal “Jean Dentista” onde mostro o processo de formação das cáries e como a limpeza regular pode interromper esse ciclo.
Prevenção de Doenças Gengivais com limpeza dental
As doenças gengivais, como a gengivite e a periodontite, são inflamações que podem levar à perda dos dentes se não forem tratadas.
Uma das principais causas dessas doenças é o acúmulo de placa e tártaro nas linhas das gengivas.
A limpeza dental regular remove esses depósitos, ajudando a prevenir a inflamação e o sangramento das gengivas.
Exemplo: Se você percebe que suas gengivas sangram ao escovar os dentes, isso pode ser um sinal de gengivite.
Durante uma limpeza profissional, o dentista remove o tártaro acumulado e orienta sobre as melhores práticas para cuidar da saúde das suas gengivas em casa.
Prevenção do Mau Hálito com limpeza dental regular
O mau hálito, ou halitose, é um problema que pode afetar a autoestima e as relações sociais. Uma das causas mais comuns do mau hálito é o acúmulo de partículas de alimentos e bactérias na boca.
A limpeza dental regular é eficaz na remoção dessas bactérias, ajudando a manter o hálito fresco.
Exemplo: Imagine que, apesar de escovar os dentes e usar enxaguante bucal, você ainda sofre com mau hálito persistente.
Isso pode ser resultado de placa bacteriana ou tártaro acumulado em áreas difíceis de alcançar. A limpeza dental ajuda a remover essas causas e a restaurar a frescura do seu hálito.
Detecção Precoce de Problemas Bucais
Durante uma limpeza dental, o dentista também faz uma inspeção completa da sua boca, o que permite a detecção precoce de problemas como cáries, doenças gengivais e até mesmo sinais de câncer bucal.
A detecção precoce é fundamental para o tratamento eficaz e menos invasivo dessas condições.
Exemplo: Suponha que, durante uma limpeza de rotina, o dentista detecta uma pequena lesão na boca. Esse pode ser o primeiro sinal de um problema mais sério, que, se tratado no início, pode ser resolvido com maior facilidade e menos desconforto.
CTA: Para saber mais sobre a importância da detecção precoce de problemas bucais, confira o vídeo no meu canal “Jean Dentista”, onde explico como uma simples limpeza dental pode ajudar a proteger sua saúde bucal e geral.
Manutenção da Brancura dos Dentes
Com o tempo, nossos dentes tendem a acumular manchas devido ao consumo de certos alimentos e bebidas, como café, chá e vinho.
A limpeza dental regular ajuda a remover essas manchas superficiais, mantendo os dentes mais brancos e o sorriso mais brilhante.
Exemplo: Se você é um amante de café e percebe que seus dentes estão ficando amarelados, uma limpeza dental pode ajudar a remover essas manchas e restaurar a brancura dos seus dentes.
Além disso, o dentista pode recomendar outros tratamentos estéticos para clareamento.
Melhora da Saúde Geral
A saúde bucal está diretamente ligada à saúde geral do corpo.
Doenças gengivais, por exemplo, têm sido associadas a condições graves, como doenças cardíacas, diabetes e complicações na gravidez.
Ao manter uma rotina de limpezas dentais regulares, você não apenas cuida do seu sorriso, mas também protege sua saúde de forma ampla.
Exemplo: Estudos mostram que a inflamação crônica nas gengivas pode aumentar o risco de doenças cardíacas. Ao realizar limpezas regulares, você reduz a inflamação na boca, o que pode ter um impacto positivo na sua saúde cardiovascular
Economia a Longo Prazo
Muitas pessoas evitam a limpeza dental regular para economizar, mas essa prática pode sair caro no futuro.
Ao prevenir problemas bucais desde o início, você evita tratamentos mais complexos e caros, como restaurações, tratamentos de canal ou cirurgias gengivais.
Exemplo: Imagine que você negligencia as limpezas regulares e acaba desenvolvendo uma cárie que atinge o nervo do dente. O tratamento de canal para resolver esse problema é muito mais caro e complicado do que uma simples limpeza que poderia ter prevenido a cárie.
A limpeza dental regular é essencial para manter a saúde bucal em dia, prevenir doenças e problemas graves, além de manter um sorriso bonito e saudável.
Com os benefícios que vão desde a prevenção de cáries e doenças gengivais até a detecção precoce de problemas mais sérios, essa prática deve fazer parte da rotina de todos.
Lembre-se, a prevenção é sempre o melhor tratamento. Não deixe de agendar suas limpezas dentais regulares e, para mais dicas e orientações, visite meu canal no YouTube “Jean Dentista”.
Lá, você encontrará vídeos detalhados sobre todos esses tópicos e muito mais, ajudando você a manter seu sorriso e sua saúde em dia.
Ou mande um áudio via direct no Instagram e vamos conversar, fique bem !


